Primul RMN 3T din lume cu deschidere ultra-largă
uMR Omega™
Propulsat de tehnologia uAIFI
Gândește la scară mare
uMR Omega™ este conceput pentru a depăși limitele tradiționale fără compromisuri. Indiferent de dimensiunea pacienților, deschiderea revoluționară ultra-largă de 75 cm răspunde mai bine nevoilor clinice, sporind încrederea medicilor și extinzând capabilitățile clinice. Privind spre viitor, această deschidere ultra-largă nu oferă doar o experiență unică, centrată pe pacient, ci aduce și avantaje în simularea RMN pentru planificarea tratamentului radioterapic, precum și în aplicații de RMN intraoperator.
Deschidere ultra-largă revoluționară
Experiență unică pentru pacient
Productivitate sporită și eficiență energetică ridicată
Inteligență artificială fără egal pentru imagistică
Acces extins pentru comunitatea dumneavoastră
Scenarii clinice fără limite
uAIFI Inside – Descoperă mai mult
Propulsat de platforma uAIFI Technology, uMR Omega™ aduce îmbunătățiri semnificative de performanță, capabilități imagistice mai puternice, fluxuri de lucru optimizate și o experiență superioară pentru utilizatori.
Experiență fără precedent pentru pacient
uAIFI UltraWide
Primul RMN din lume cu deschidere ultra-largă de 75 cm, dotat cu un mediu ambiental unic starlight, oferă pacienților o experiență de examinare „first class” în imagistica prin rezonanță magnetică.
uAIFI SuperFlex Coil
Bobine RF de nouă generație, cu un design flexibil asemănător unei pături și densitate crescută a elementelor RF, oferind pacienților confort sporit și imagini de o calitate superioară.
uAIFI EasySense
Prima soluție din industrie cu radar phased-array dual-source pe unde milimetrice, care permite detectarea fără contact a mișcărilor respiratorii ale pacienților pentru o monitorizare sigură și precisă.
uAIFI QScan
Tehnologia uAIFI QScan permite realizarea de scanări silențioase, fără compromisuri în calitatea imaginii, prin integrarea avansată a funcțiilor ACS și DeepRecon.
uAIFI ACS
ACS (AI-assisted Compressed Sensing) este soluția exclusivă de accelerare RMN dezvoltată de United Imaging, creată pentru a echilibra perfect viteza și calitatea imaginii. Aceasta combină CS, HF și PI, integrând în mod inovator o rețea neuronală de deep learning ca modul AI în procesul de reconstrucție. Astfel, utilizatorii pot obține fie o calitate superioară a imaginilor fără a prelungi timpul de examinare, fie un timp redus de scanare fără a compromite calitatea – permițând investigații mai complete, consolidând încrederea radiologilor și crescând confortul pacienților.
Combinație de patru metode de accelerare
Integrarea a patru tehnologii de accelerare permite atingerea unui nivel superior de viteză în imagistica RMN, fără a compromite calitatea imaginilor.
Viteză de scanare comparabilă cu CT
Permite achiziția fiecărei regiuni a corpului în mai puțin de 100 de secunde, crescând semnificativ fluxul de pacienți și reducând artefactele de mișcare.
Rezoluție mai mare în timp de scanare redus
Oferă o redare superioară a structurilor anatomice mici, extinzând semnificativ capabilitățile de diagnostic.
Înghețarea mișcării
Această tehnologie aduce beneficii pacienților vârstnici, pediatrici și celor cu dificultăți în a tolera examinările RMN, crescând rata de succes a investigațiilor.
Scanări silențioase cu inteligență artificială
Propulsat de platforma uAIFI Technology, uMR Omega™ aduce îmbunătățiri semnificative de performanță, capabilități imagistice mai puternice, fluxuri de lucru optimizate și o experiență superioară pentru utilizatori.
Introducerea scanării silențioase whole-body în practica clinică
uAIFI QScan, îmbunătățit cu tehnologii AI precum ACS și DeepRecon, crește semnificativ viteza de scanare și calitatea imaginilor, aducând pentru prima dată scanarea silențioasă a întregului corp în practica clinică.
Perspective tehnologice: Extindere către RMN 3D
Evoluțiile recente deschid calea către imagistica RMN 3D, oferind detalii anatomice mai clare, informații complete și capabilități diagnostice extinse pentru o gamă largă de aplicații clinice.
Un nou capitol în imagistica RMN 3D odată cu introducerea ACS 3D
Domeniul RMN 3D a cunoscut o dezvoltare rapidă în ultimii ani, demonstrând avantaje semnificative și un potențial extins față de RMN 2D datorită bogăției de date oferite. Cu ajutorul tehnologiei ACS 3D, imagistica RMN de înaltă rezoluție devine mai accesibilă ca niciodată, furnizând claritate și acuratețe de neegalat.
Sistem performant
Acces extins pentru comunitate
Deschidere ultra-largă de 75 cm
Capacitate a mesei de 310 kg
Iluminare interioară pentru confortul pacientului
Tehnologie necesară pentru imagistica ultra-largă
GPA de nouă generație cu o putere maximă de 3,5 MW
Performanță a gradientului de 45 mT/m & 200 T/m/s
Omogenitate tipică de 0,029 ppm @ 30 DSV
Galerie clinică
Cap SWI+
DTI cu 256 direcții pentru cap
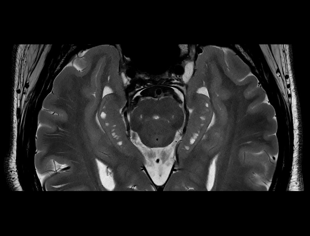
T2W FSE de înaltă rezoluție pentru hipocamp
Detectarea leziunilor mici de 2,2 mm
Imagistică cerebrală de înaltă rezoluție
Limfom gastric evaluat prin FDG
Detalii tehnice
| Sistem Magnet | |
|---|---|
| Intensitatea câmpului | 3.0 Tesla |
| Diametrul deschiderii | 75 cm |
| Rata de evaporare a criogenului în timpul scanării | 0% (în condiții normale de utilizare) |
| FOV maxim | 60 cm (direcțiile X și Y) |
| Shimming | Pasiv și Activ |
| Sistem Gradient | |
|---|---|
| Amplitudine maximă gradient | 45 mT/m |
| Rată maximă de creștere (Slew Rate) | 200 T/m/s |
| Sistem RF | |
|---|---|
| Număr de canale independente de recepție | Până la 96 |
| Informații de instalare | |
|---|---|
| Suprafața camerei de scanare (minim) | 25.9 m² |
| Suprafața camerei electronice (minim) | N.A. (Lungimea și lățimea în funcție de situația reală) |
| Suprafața camerei de control (minim) | 4 m² |