Succes zilnic garantat
uMR® 588
uCS® 1.5T MR
Pentru prima dată în domeniul 1.5T, uMR® 588 este echipat cu platforma de imagistică uCS®, care permite scanări whole-body de mare viteză, dinamică abdominală multi-fazică de 2 secunde/fază și imagistică de difuzie la înaltă rezoluție. Această tehnologie marchează începutul unei noi ere pentru compressed sensing în imagistica 1.5T.
United Compressed Sensing
Tehnologia uCS® permite scanări RMN rapide și de înaltă calitate, reducând semnificativ timpul de examinare și crescând eficiența clinică.
Cuantificare precisă
Oferă măsurători exacte și imagini detaliate, esențiale pentru diagnostice fiabile și planuri de tratament personalizate.
Examinare inteligentă
Optimizează automat protocoalele de scanare prin algoritmi avansați, asigurând investigații rapide, sigure și adaptate fiecărui pacient.
Platforma uCS®
Tehnologia de imagistică uCS®
Prin combinarea avantajelor PF, PI și CS, tehnologia de imagistică uCS® (United Compressed Sensing) optimizează achiziția datelor și reconstrucția imaginilor, îmbunătățind semnificativ viteza de scanare și calitatea acestora.
Aplicații uCS® Imaging
Tehnologia uCS® este utilizată în scanările dinamice abdominale cu substanță de contrast, permițând o accelerație de achiziție de până la 16× și captarea clară a modificărilor dinamice continue ale semnalelor tisulare.
Cuantificare precisă
MAPs
MAPs furnizează date cantitative esențiale pentru cercetarea clinică și științifică a diferitelor boli ale organelor, prin calcularea precisă a parametrilor de timp.
FACT
Tehnologia FACT permite detectarea non-invazivă a conținutului de grăsime și a depunerilor de fier în țesuturi. După achiziție și procesare, sunt generate imagini multi-parametrice pentru o evaluare completă.
Imagistică neuro multi-parametrică
După achiziție pot fi generate hărți parametrice precum FA, RA, ADC și FA color, care reflectă viteza și direcția mișcării apei în țesuturi. Această tehnică oferă informații precise pentru diagnosticarea bolilor neurologice, precum leziunile de substanță albă.
Spectroscopie
Prin analiza conținutului metabolic din organism, spectroscopia RMN permite detectarea non-invazivă a nivelurilor de metaboliți în țesuturile vii, sprijinind diagnosticul și monitorizarea afecțiunilor metabolice și neurologice.
Examinare inteligentă
Pozitionare inteligentă și automată a mesei
Cu o singură apăsare, sistemul permite poziționarea automată a mesei pentru scanările de cap, eliminând necesitatea utilizării luminii laser și simplificând procesul de pregătire a pacientului.
EasyPlan
Planificare automată a scanărilor în mai mulți pași și îmbinare a imaginilor cu o singură apăsare, simplificând procesul și crescând eficiența clinică.
EasyScan
Asigură o orientare anatomică inteligentă, automată și constantă, pentru scanări rapide și rezultate uniforme în imagistica RMN.
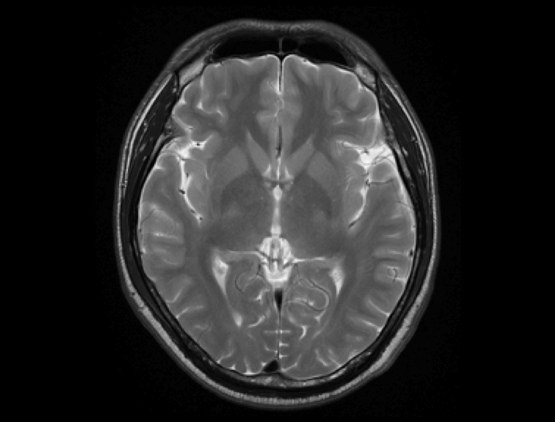
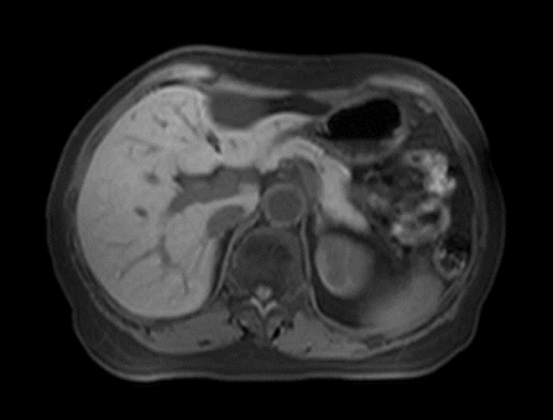
Galerie clinică
Neuro
Angiografie
Coloană
Abdomen
Detalii tehnice
| Sistem Magnet | |
|---|---|
| Intensitatea câmpului | 1.5 Tesla |
| Diametrul deschiderii | 60 cm |
| Rata de evaporare a criogenului în timpul scanării | 0% (în condiții normale de utilizare) |
| Shimming | Pasiv și Activ |
| Sistem Gradient | |
|---|---|
| Amplitudine maximă gradient | 33 mT/m |
| Rată maximă de creștere (Slew Rate) | 125 T/m/s |
| Sistem RF | |
|---|---|
| Număr de canale independente de recepție | Până la 24 |
| Informații de instalare | |
|---|---|
| Suprafața camerei de scanare (minim) | 19.6 m² |
| Suprafața camerei electronice (minim) | N.A. (Lungimea și lățimea în funcție de situația reală) |
| Suprafața camerei de control (minim) | 4 m² |