PET/CT digital cu rezoluție înaltă pentru diagnostic de precizie
uMI 550
Digital. Accesibil.
uMI 550 face ca tehnologia PET digitală de ultimă generație să fie accesibilă pentru mai mulți utilizatori. Cu detectorul unic Integrated-Light-Guide Digital PET, uMI 550 oferă o rezoluție NEMA de 2,9 mm. Sistemul CT cu 80 de slice-uri, dotat cu Z-Detector inovator, furnizează imagini CT de diagnostic cu rezoluție spațială ridicată și o detectabilitate îmbunătățită a contrastului scăzut.
Detector PET digital cu SiPM și Integrated-Light-Guide
Detectorul PET digital bazat pe SiPM și tehnologia Integrated-Light-Guide oferă sensibilitate ridicată și imagini clare, esențiale pentru un diagnostic precis.
CT cu 80 de slice-uri și Z-Detector inovator
Sistemul CT cu 80 de slice-uri și Z-Detector inovator furnizează rezoluție spațială excelentă și vizualizarea detaliilor fine, chiar și la contrast scăzut.
Flux de lucru intuitiv pentru eficiență și îngrijire personalizată
Interfața intuitivă și procesele automatizate optimizează fluxul de lucru, cresc eficiența și permit adaptarea investigațiilor la nevoile fiecărui pacient.
Integrated Light Guide – Claritate superioară în PET/CT
Integrated Light Guide – Precizie și eficiență
Tehnologia Integrated Light Guide îmbunătățește eficiența colectării luminii și rezoluția spațială, oferind imagini PET/CT de claritate excepțională. Această inovație contribuie la un diagnostic precis și la o analiză detaliată a structurilor anatomice, esențială în oncologie, neurologie și cardiologie.
Tehnologia SiPM – Claritate și eficiență
Tehnologia SiPM crește eficiența conversiei fotoelectrice și reduce pierderea de semnal, oferind imagini PET/CT de o calitate excepțională. Această inovație asigură performanțe superioare în detectarea și reconstrucția imaginilor, sprijinind un diagnostic rapid și precis.
Cristal de înaltă precizie
Dimensiunea ultra-fină a cristalului îmbunătățește semnificativ rezoluția imaginilor, oferind detalii clare și acuratețe sporită în diagnosticarea prin PET/CT.
Design modular
Designul modular de înalt nivel asigură o fiabilitate remarcabilă a sistemului și o mentenanță eficientă, garantând performanțe constante și durabile pentru PET/CT digital.
CT cu 80 de slice-uri și Z-Detector
Sistemul CT cu 80 de slice-uri și Z-Detector oferă imagini de diagnostic de înaltă rezoluție, cu detalii anatomice clare și detectabilitate superioară a contrastului scăzut.
Design cu zgomot ultra-redus
Arhitectura puternic integrată a Z-Detectorului reduce semnificativ zgomotul general și contribuie la obținerea unor imagini de înaltă calitate, menținând în același timp o doză scăzută de radiație.
Material de înaltă performanță
Eficiența ridicată de conversie a GOS îmbunătățește rata de conversie a razelor X, menținând în același timp un timp de răspuns rapid pentru imagini CT precise și clare.
Eșantionare de înaltă finețe
Voxeli de eșantionare extrem de fini captează o cantitate mare de informații, permițând o vizualizare detaliată și precisă a structurilor anatomice fine.
Claritate pentru imagistică
Rezoluție ultra-înaltă
Tehnica de reconstrucție iterativă Point-Spread-Function (PSF) permite obținerea unei rezoluții spațiale efective de 1,4 mm, îmbunătățind acuratețea cantitativă și detectabilitatea leziunilor mici.
Raport contrast-zgomot îmbunătățit
Prin localizarea precisă a fotonilor de anihilare, tehnologia Time-of-Flight (TOF) accelerează convergența imaginilor, oferind un contrast superior și reducând semnificativ zgomotul acestora.
Scanare rapidă
Câmpul vizual axial larg de 24 cm și sensibilitatea ridicată a sistemului permit realizarea unei scanări întregului corp în doar 4 poziții de pat.
Doză redusă
Sensibilitatea ridicată a sistemului optimizează achiziția datelor și permite efectuarea de scanări PET cu doză scăzută de radiație.
Flux de lucru intuitiv pentru eficiență
Interfața prietenoasă și procesele optimizate simplifică utilizarea sistemului PET/CT, cresc productivitatea clinică și reduc timpul necesar pentru examinări.
Flux automat de control al calității
Sistemul nu necesită surse radioactive pentru verificarea zilnică, reducând expunerea la radiații. Verificările periodice complete cu 18F și 68Ge și instrumentul rapid NEMA fac procesul simplu, sigur și eficient.
Corecția mișcărilor capului
Fără dispozitive externe, algoritmul de corecție bazat pe date detectează mișcările în timpul scanărilor PET/CT și elimină neclaritățile cauzate de acestea, oferind imagini clare și precise.
Reducerea inteligentă a artefactelor de mișcare
Fără dispozitive externe, tehnologia digitală de auto-gating detectează automat mișcările respiratorii. Funcția MAC reduce artefactele metalice și păstrează detaliile structurale esențiale pentru imagini PET/CT de înaltă calitate.
Aplicație integrată pentru oncologie
uMI 550 oferă un pachet complet de soluții pentru diagnosticarea tumorilor și evaluarea post-terapeutică direct de pe consola de operare, sprijinind decizii clinice rapide și precise în imagistica PET/CT digitală.
Galerie clinică
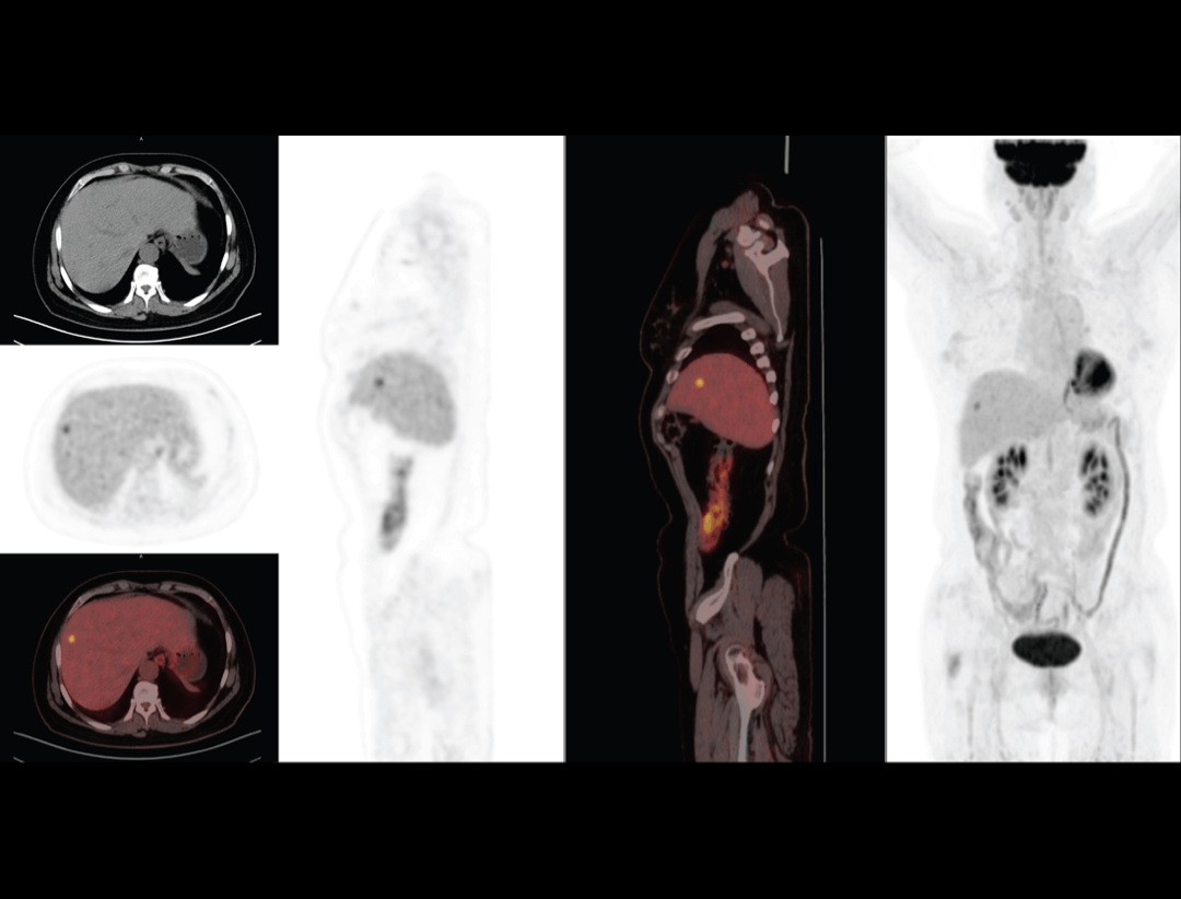
Cancer esofagian
Imagistica PET/CT oferă detalii esențiale pentru diagnosticarea și stadializarea cancerului esofagian, permițând evaluarea precisă a extensiei tumorale și monitorizarea răspunsului la tratament.
Limfom
Tehnologia PET/CT digitală joacă un rol crucial în diagnosticarea și monitorizarea limfomului, oferind imagini de înaltă rezoluție pentru detectarea leziunilor și evaluarea eficienței tratamentului.
Cancer rectal
Prin imagistica PET/CT digitală, medicii pot obține informații detaliate pentru diagnosticarea și stadializarea cancerului rectal, facilitând planificarea tratamentului și monitorizarea evoluției bolii.
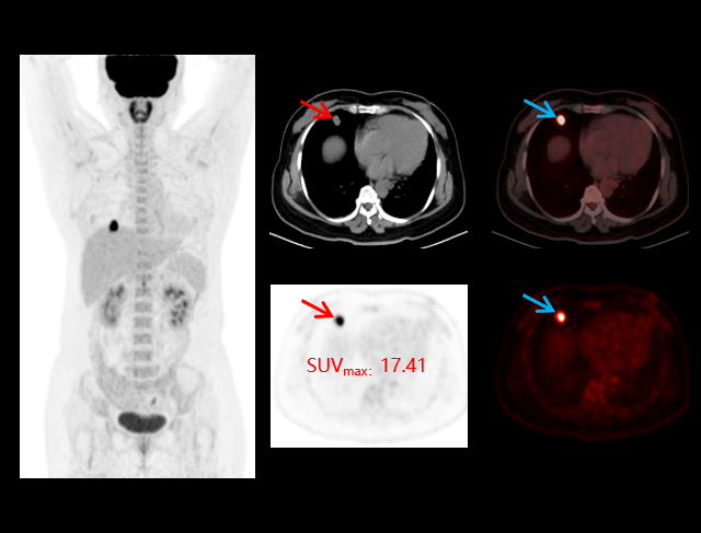
Cancer pulmonar
Investigațiile cu PET/CT digital oferă o evaluare precisă a cancerului pulmonar, sprijinind diagnosticarea timpurie, stadializarea corectă și monitorizarea răspunsului la tratament.
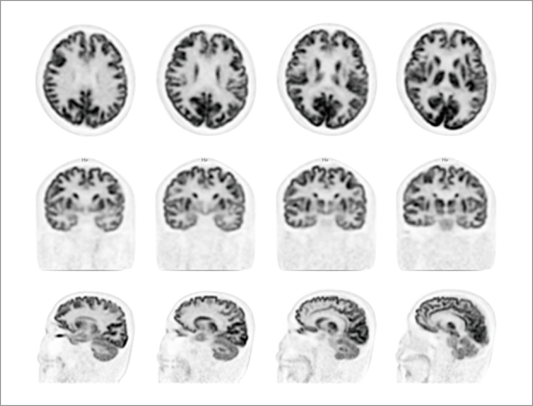
Creier
Imagistica prin PET/CT digital permite vizualizarea detaliată a structurilor cerebrale, fiind esențială în diagnosticul și monitorizarea afecțiunilor neurologice și în detectarea leziunilor de mici dimensiuni.
Imagistică pentru viabilitatea cardiacă
Examinările cu PET/CT digital oferă informații precise despre viabilitatea miocardică, ajutând la evaluarea funcției inimii și la stabilirea celor mai eficiente opțiuni terapeutice.
**Molecular Imaging Healthcare nu formulează nicio revendicare privind utilizarea radiofarmaceuticelor menționate.