Scanări inteligente, diagnostic precis și eficiență ridicată
uCT Orion Extra
Tot ce ai nevoie într-un CT inteligent
uCT Orion Extra
uCT Orion Extra integrează inteligența artificială cu tehnologia CT pentru a oferi o experiență de scanare eficientă, centrată pe pacient și imagini de claritate superioară. Dincolo de scanarea inteligentă, hardware-ul robust asigură putere și fiabilitate pentru a răspunde unei game variate de nevoi clinice.
Conceput ca o investiție orientată spre viitor, uCT Orion Extra este pregătit pentru cerințele actuale și valoarea de mâine.
Redefinirea fluxurilor de lucru cu inteligență artificială
Workflow-ul inteligent al uCT Orion Extra oferă pacienților și operatorilor o experiență de scanare modernă, care depășește așteptările. Tehnologia inovatoare uAI Vision, cu sistem dual de camere și algoritmi AI avansați, îmbunătățește semnificativ atât calitatea îngrijirii pacientului, cât și eficiența procesului de scanare.
Îmbunătățirea Calității Imaginii cu AI
Inteligența artificială transformă imagistica CT, iar uCT Orion Extra utilizează aceste tehnologii pentru a oferi o calitate superioară a imaginii. Tehnologia DELTA optimizează claritatea pe toate planurile, iar Motion Freeze reduce artefactele cauzate de mișcare.
Aceste algoritmi bazați pe AI evidențiază detaliile anatomice și susțin un diagnostic mai precis și mai sigur.
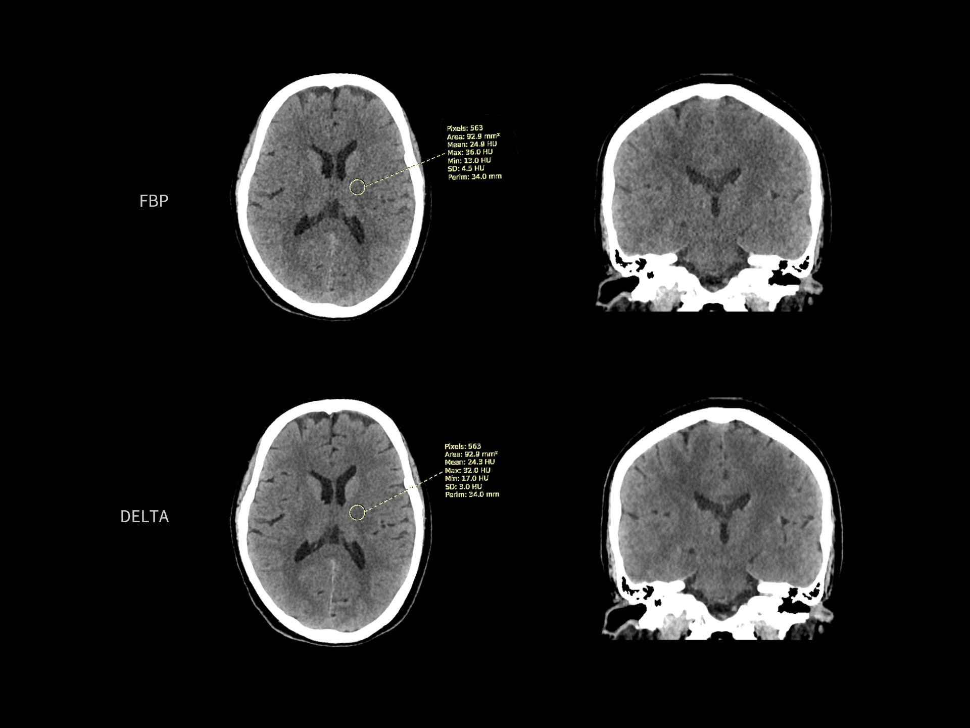
DELTA ridică standardul calității imaginii în toate dimensiunile
Spre deosebire de metodele convenționale precum Filtered Back-Projection (FBP) și Model-Based Iterative Reconstruction (MBIR), tehnologia DELTA oferă un echilibru optim între calitatea imaginii, doză redusă de radiații și viteză mare de reconstrucție.
Prin această performanță, DELTA stabilește un nou standard în imagistica CT.
Îmbunătățire de până la 163% a detectabilității contrastului redus (LCD)*
Performanță superioară a imaginii, cu o creștere de până la 163% a LCD la aceeași doză de radiații, pentru un diagnostic mai precis.
Îmbunătățire de până la 74% a rezoluției spațiale*
Performanță superioară a imaginii, cu o creștere de până la 74% a rezoluției spațiale la aceeași doză de radiații, pentru detalii mai clare și un diagnostic mai precis.
Reducere de până la 80% a dozei de radiații*
Menține aceeași detectabilitate a contrastului redus (LCD), oferind imagini de calitate la o expunere semnificativ mai mică pentru pacient.
Reducere de până la 98% a zgomotului de imagine*
Asigură imagini mult mai clare, menținând aceeași doză de radiații și îmbunătățind semnificativ acuratețea diagnosticului.
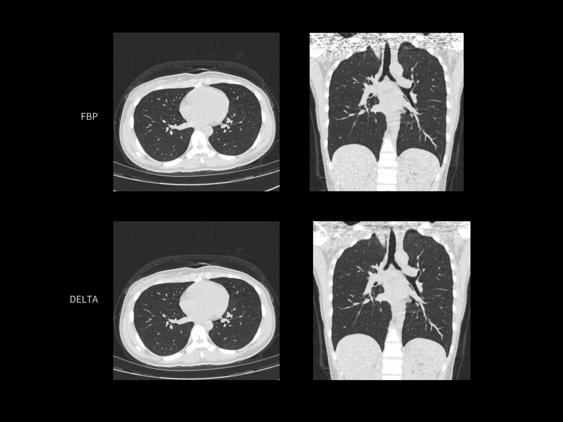
DELTA reduce zgomotul de imagine și îmbunătățește detectabilitatea contrastului redus
| Parametri scanare |
kV: 120 mAs: 285 CTDIvol: 45.8 mGy Doză efectivă: 1.7 mSv |
| Parametri reconstrucție |
Matrice: 512 × 512 Grosime secțiune: 1.0 × 0.8 mm HIR: H_SOFT_B Nivel DL-Denoise: 3 WW/WL: 80/35 |
| Contrast | — |
DELTA îmbunătățește vizualizarea texturii pulmonare în scanările cu doză redusă
| Parametri scanare |
kV: 60 mAs: 210 CTDIvol: 1.8 mGy Doză efectivă: 0.8 mSv |
| Parametri reconstrucție |
Matrice: 512 × 512 Grosime secțiune: 1.0 × 0.5 mm HIR: B_SHARP Nivel DL-Denoise: 3 WW/WL: 1500 / -500 |
| Contrast | — |
DELTA reduce zgomotul de imagine și îmbunătățește detectabilitatea contrastului redus
| Parametri scanare |
kV: 100 mAs: 130 CTDIvol: 7.568 mGy Doză efectivă: 0.54 mSv |
| Parametri reconstrucție |
Matrice: 512 × 512 Grosime secțiune: 1.0 × 0.5 mm HIR: H_SOFT+ Nivel DL-Denoise: 3 WW/WL: 820/250 |
| Contrast | 350 mgl/ml 65 ml |
Hardware Performant pentru Imagistică de Precizie
uCT Orion Extra este construit pe un lanț de imagistică puternic și fiabil, susținut de hardware avansat care permite realizarea facilă a investigațiilor complexe. Sistemul oferă imagini de înaltă calitate, evidențiind clar detaliile anatomice și susținând un diagnostic sigur.
Detalii tehnice
Lanț de Imagistică Puternic și Fiabil
| Z-Detector | |
| Număr de secțiuni | 40 secțiuni |
| Dimensiune minimă pixel | 0.55 mm |
| Rată maximă de eșantionare | 4800 vizualizări / 360° |
| Tub puternic & Generator de înaltă tensiune | |
| Capacitate termică tub | 3.8 MHU |
| Dissipare maximă căldură | 746 kHU/min |
| Interval curent tub | 10 - 400 mA |
| Interval tensiune tub | 60 - 140 kV |
| Putere maximă generator înaltă tensiune | 48 kW |
| Gantry | |
| Timp rotație | Până la 0.71 s / rotație |
| Diametru deschidere gantry | 70 cm |
Pentru mai multe detalii tehnice despre acest tub, consultați fișa tehnică uXT0344 X-ray Tube.
Claritate fără compromisuri
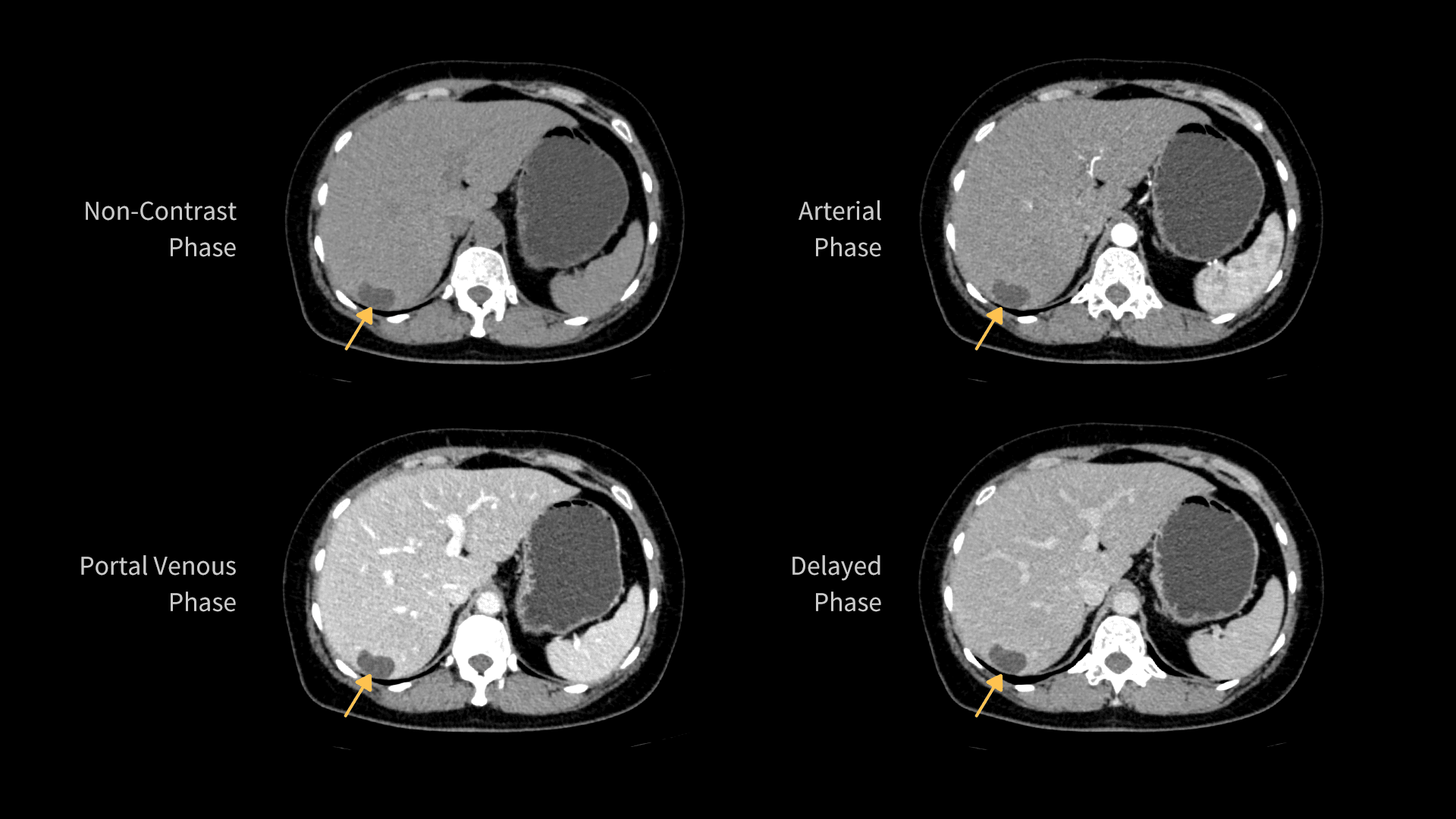
Imagistică Hepatică cu Contrast Multiphasic
uCT Orion Extra este echipat cu un detector Z de 40 de secțiuni, cu design inovator al chip-ului, care reduce nivelul de zgomot electronic. Această optimizare scade zgomotul în imaginile abdominale și îmbunătățește vizibilitatea limitelor leziunilor.
| Parametri scanare |
Timp rotație: 0.71 s / rotație kV: 100 mAs: 103 CTDIvol: 6.0 mGy Doză efectivă: 2.0 mSv |
| Parametri reconstrucție |
Matrice: 512 × 512 Grosime secțiune: 2.0 × 1.0 mm HIR: B_VSOFT_B WW/WL: 300/40 |
| Contrast |
350 mgI/ml 80 ml 2.5 ml/s |
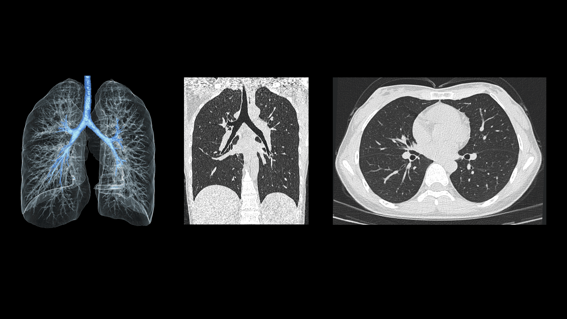
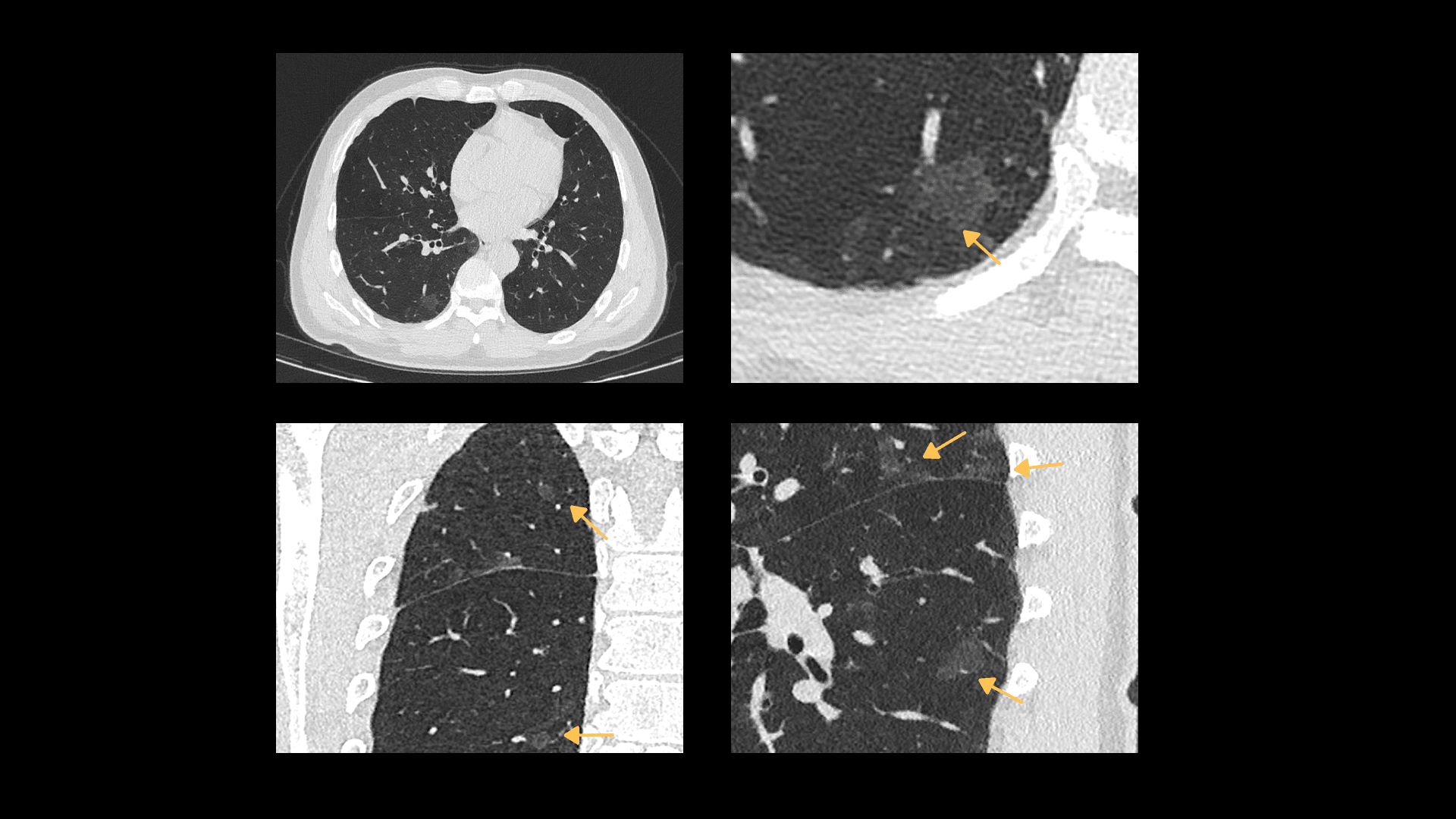
Imagistică Toracică cu Grosime de Secțiune de 0.55 mm
Detectorul Z al sistemului uCT Orion Extra oferă o grosime minimă a secțiunii de 0.55 mm, permițând o delimitare mai precisă și o vizualizare îmbunătățită a opacităților de tip ground-glass (GGO), cu definirea clară a marginilor leziunilor pulmonare.
| Parametri scanare |
Timp rotație: 0.71 s / rotație kV: 120 mAs: 30 CTDIvol: 2.9 mGy Doză efectivă: 1.5 mSv |
| Parametri reconstrucție |
Matrice: 512 × 512 Grosime secțiune: 0.55 × 0.55 mm HIR: B_SHARP_C WW/WL: 1500 / -500 |
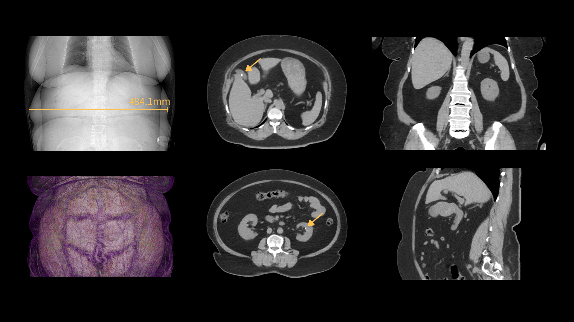
Imagistică Abdominală pentru Pacienți Obezi
Pacienții obezi au un volum corporal mai mare și un strat adipos mai gros, ceea ce reduce penetrarea razelor X și calitatea imaginii. uCT Orion Extra, prin tubul puternic și generatorul de înaltă tensiune, oferă imagini clare și precise chiar și pentru pacienții cu BMI ridicat.
| Parametri scanare |
BMI: 38.14 Timp rotație: 0.71 s / rotație kV: 120 mAs: 185 CTDIvol: 18.2 mGy Doză efectivă: 8.9 mSv |
| Parametri reconstrucție |
Matrice: 512 × 512 Grosime secțiune: 1.0 × 0.5 mm HIR: B_VSOFT_B WW/WL: 308 / -41 |
Imagistică Toracică Low-Dose la 60 kV
Pentru pacienții cu constituție slabă, tensiunea minimă de 60 kV permite reducerea semnificativă a dozei de radiații, menținând calitatea imaginii. Bronhiile principale și structurile mediastinale sunt vizualizate clar, iar reconstrucțiile MIP evidențiază precis vasele pulmonare.
| Parametri scanare |
Timp rotație: 0.71 s / rotație kV: 60 mAs: 210 CTDIvol: 1.8 mGy Doză efectivă: 0.8 mSv |
| Parametri reconstrucție |
Matrice: 512 × 512 Grosime secțiune: 1.0 × 0.5 mm HIR: B_SHARP_C WW/WL: 1500 / -500 |
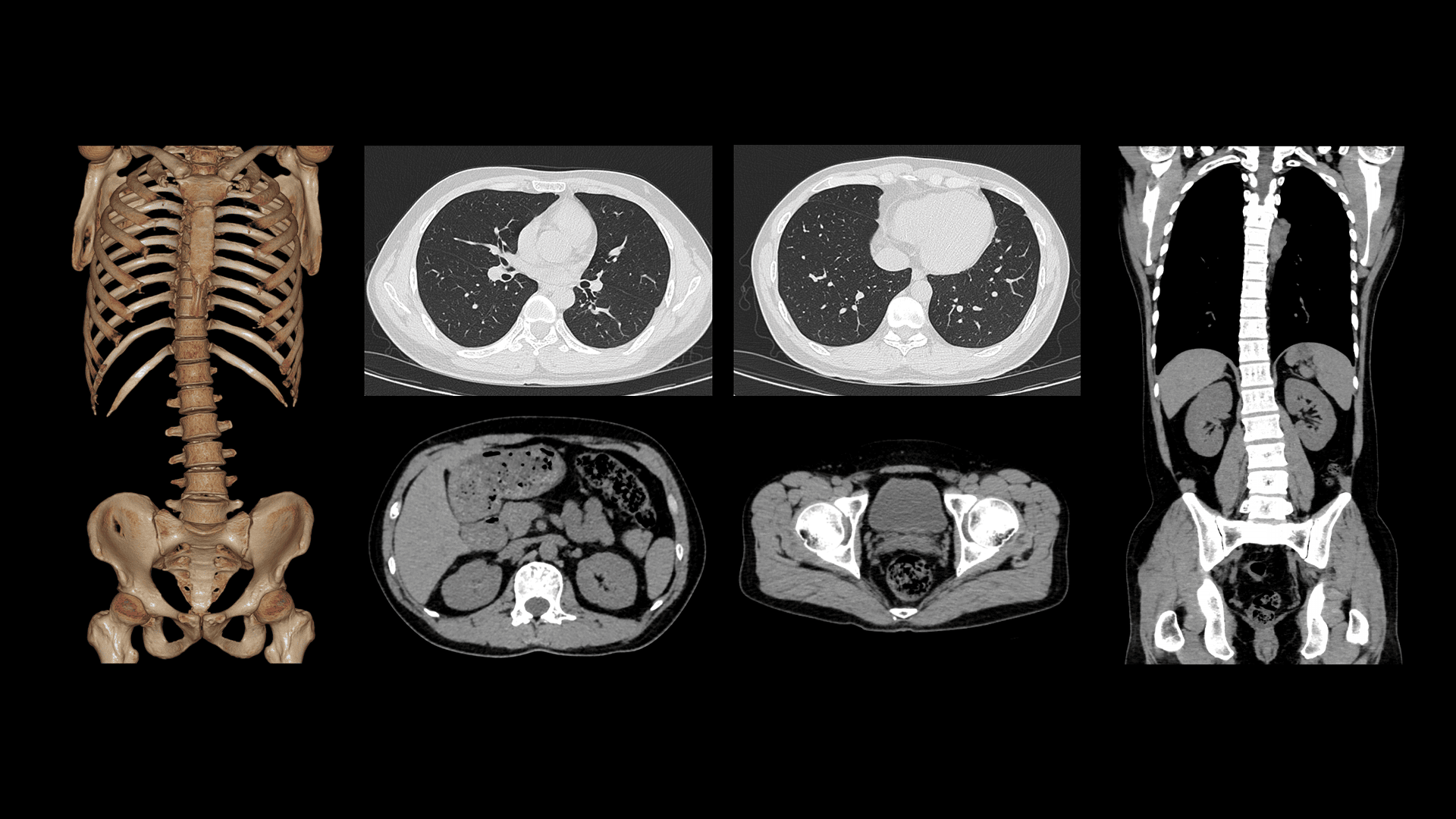
Scanări Toraco-Abdominale Extinse
Tubul cu disipare ridicată de căldură (746 kHU/min) permite scanări continue, fără întreruperi cauzate de supraîncălzire. Astfel, uCT Orion Extra susține eficient investigații complexe, precum scanările toraco-abdominale extinse sau CT multiphasic cu contrast.
| Parametri scanare |
Timp rotație: 0.71 s / rotație kV: 120 mAs: 103 CTDIvol: 10.2 mGy Doză efectivă: 9.9 mSv Lungime scanare: 652 mm |
| Parametri reconstrucție |
Matrice: 512 × 512 Grosime secțiune: 2.0 × 1.0 mm HIR: B_VSOFT_B WW/WL: 300/40 |
Imagistică Multiphasică cu Substanță de Contrast
Tubul cu disipare ridicată de căldură (746 kHU/min) permite scanări continue și stabile, fără întreruperi cauzate de supraîncălzire. Astfel, uCT Orion Extra susține eficient examinările CT multiphasice cu contrast, oferind performanță constantă și imagini de înaltă calitate.
| Parametri scanare |
Timp rotație: 0.71 s / rotație kV: 100 mAs: 84 CTDIvol: 4.9 mGy Doză efectivă: 3.5 mSv Lungime scanare: 464 mm |
| Parametri reconstrucție |
Matrice: 512 × 512 Grosime secțiune: 2.0 × 1.0 mm HIR: B_VSOFT_B WW/WL: 300/40 |
| Contrast |
350 mgI/ml 80 ml 2.5 ml/s |
Investiție Inteligentă pentru Valoare pe Termen Lung
uCT Orion Extra este conceput pentru eficiență optimă pe întreg ciclul de viață. Designul compact reduce costurile de instalare, iar modul uEco scade consumul zilnic de energie. Funcțiile uRemote Assistance și Remote Update minimizează timpii de întrerupere, asigurând operare continuă și eficientă.
Astfel, sistemul oferă valoare durabilă și performanță constantă pe termen lung.
Disclaimer
uCT Orion Extra este proiectat în conformitate cu Regulamentul (UE) 2017/745 și fabricat conform standardului ISO 13485, respectând cerințele aplicabile pentru siguranța dispozitivelor medicale, inclusiv EN 60601-1, EN 60601-2-44, EN 60601-1-2 și EN 60601-1-3.
Acest produs este destinat utilizării exclusiv de către personal medical calificat. Pacienții trebuie să respecte instrucțiunile furnizate de specialiștii din domeniul sănătății în timpul utilizării.
Instrucțiunile de utilizare sunt disponibile în mai multe limbi, inclusiv engleză, rusă, spaniolă, italiană, poloneză, germană, greacă, română, maghiară și portugheză (Brazilia). Utilizatorii autorizați pot accesa documentația în limba dorită prin linkul:
https://uicloud.com/uclass/docs/en-us/home
Pentru informații suplimentare, contactați reprezentantul local United Imaging Healthcare.