uCT 820
Inteligență care se adaptează.
Claritate care depășește limitele.
Scannerul uCT 820 este echipat cu tehnologii AI avansate și proiectat pe baza unei filosofii centrate pe pacient. Acesta oferă o caracterizare detaliată a țesuturilor, reduce expunerea la radiații, permite imagistică volumetrică rapidă și simplifică setarea examinărilor pentru un flux de lucru mai eficient.
uCT 820 asigură o experiență premium de examinare CT, atât pentru specialiști, cât și pentru pacienți.
Poziționare
uAI Vision oferă o poziționare izocentrică standardizată și eficientă pentru fiecare examinare.
Scanare
Planificare inteligentă a scanării, adaptată fiecărui pacient pentru imagini personalizate.
Reconstrucție
Prin utilizarea unor algoritmi inteligenți de reconstrucție, calitatea imaginilor clinice este semnificativ îmbunătățită.
Post-procesare
Aplicații de post-procesare optimizate, care oferă imagini CT de calitate superioară și eficiență ridicată în diagnostic.
Independent de CT; certificare CE separată.
AIIR – Reconstrucție iterativă cu inteligență artificială*
Ca prima tehnologie din lume** care combină reconstrucția iterativă bazată pe modele (MBIR) cu inteligența artificială avansată, AIIR reprezintă o abordare inovatoare în reconstrucția imaginilor, oferind o calitate superioară și detalii clinice îmbunătățite.
Pixeli de 0,5 mm
Cu o dimensiune a pixelului detectorului de 0,5 mm, structurile fine pot fi vizualizate mult mai clar la fiecare scanare. Îmbunătățirea rezoluției pe axa Z contribuie la reducerea efectelor de volum parțial și la creșterea capacității de a identifica leziunile suprapuse.
Matrice de reconstrucție 1024 x 1024
O matrice de reconstrucție 1024 x 1024 îmbunătățește rezoluția spațială și permite evidențierea celor mai fine detalii, chiar și în cadrul celor mai dificile examinări.
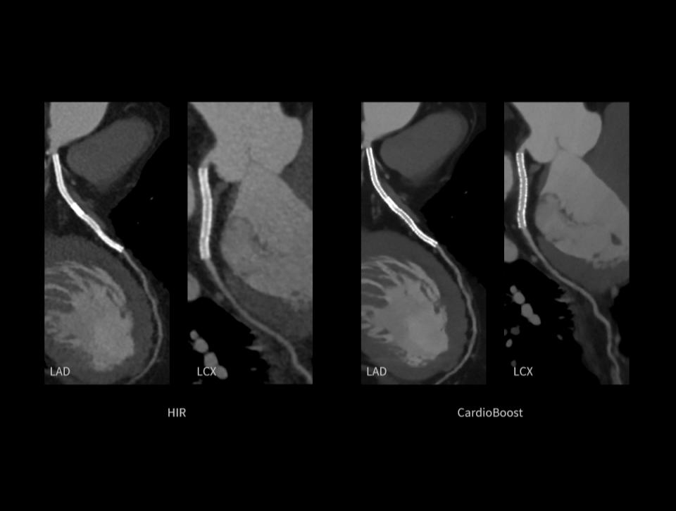
CardioBoost
Algoritm de reconstrucție bazat pe inteligență artificială, special conceput pentru imagistica cardiacă, care oferă o rezoluție spațială excepțională și capacitate avansată de suprimare a artefactelor.
CardioXphase
Selecție optimă de fază bazată pe inteligență artificială, care permite obținerea unor imagini coronariene CTA de înaltă calitate și reduce efortul tehnicienilor pentru procesarea și reconstrucția imaginilor.
Viteză de rotație de 0,25 s
Sistemul dispune de o structură monobloc turnată a gantry-ului, integrată cu un motor direct, care asigură control precis al vitezei de rotație. Astfel, se obține o viteză de rotație de 0,25 s și o rezoluție temporală excepțională.
CardioCapture
Prin utilizarea unei corecții inteligente a mișcării, cu ajutorul unui algoritm coronarian bazat pe inteligență artificială, rezoluția temporală pentru imagistica cardiacă a fost îmbunătățită până la 25 de milisecunde.
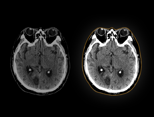
Motion Freeze
Algoritm de corecție a mișcărilor capului bazat pe inteligență artificială, care elimină artefactele de mișcare și dezvăluie acuratețea reală a imaginilor.
Perfuzie cerebrală dinamică 180 mm
Tehnica de perfuzie dinamică oferă un câmp de scanare mai larg decât acoperirea detectorului și furnizează informații funcționale complete despre creier, cu un timp de ciclu de până la 2 secunde.
Post-procesare automată*
Prin utilizarea funcției automate de eliminare a oaselor, imaginile CTA pot fi obținute rapid și precis. În plus, software-ul de analiză CTP oferă o gamă variată de parametri funcționali – CBV, CBF, TTP, MTT și Tmax – care îmbunătățesc precizia diagnosticării în cazul accidentului vascular cerebral ischemic.
*Independent de CT; certificare CE separată.
Capacitate termică echivalentă de 34 MHU
Tehnologia avansată cu rulmenți pe bază de metal lichid permite scannerului să fie pregătit în orice moment pentru orice tip de scanare.
3D în timp real
Previzualizarea imaginilor în timp real permite identificarea rapidă a leziunilor, fiind deosebit de utilă pentru departamentele de urgență.
Post-procesare automată
Marcarea automată a coastelor și a discurilor vertebrale facilitează diagnosticarea rapidă a fracturilor osoase.
Îngrijire premium pentru pacienți
Datorită tehnologiei integrate de reducere a dozei și designului prietenos pentru utilizatori, uCT 820 oferă o experiență de examinare fără egal, permițând radiologilor și tehnicienilor să se concentreze mai mult pe pacienți decât pe proceduri.
Ultra EFOV
Algoritm bazat pe inteligență artificială care permite imagistica pe întreaga dimensiune a gantry-ului și elimină artefactele de trunchiere.
Gantry ultra-larg de 82 cm
Deschiderea generoasă de 82 cm oferă pacienților o experiență de examinare confortabilă și un spațiu de lucru flexibil, îmbunătățind în același timp capabilitățile imagistice pentru pacienții bariatrici.
Mod de scanare 60 kVp
Scanările la 60 kVp reduc doza de radiație, menținând în același timp calitatea imaginii, fiind deosebit de avantajoase pentru pacienții adulți cu constituție mică și pentru pacienții pediatrici.
Control automat al expunerii
Recunoaște inteligent dimensiunea, forma și nivelul de atenuare al diferitelor părți ale corpului uman și ajustează automat doza de radiație administrată.
Auto ALARA mA bazat pe organe
Tehnologie bazată pe inteligență artificială care recunoaște automat zona toracelui și a abdomenului, permițând planificarea optimizată a dozei și menținerea calității imaginii pe întreaga durată a scanării.
uAI Vision
Funcția automată de centrare ISO optimizează atât doza de radiație, cât și calitatea imaginii, indiferent de nivelul de experiență al operatorului.
Z-Detector
Bazat pe tehnologia through-silicon via (TSV), Z-Detector furnizează semnale digitalizate aproape fără pierderi, reducând semnificativ zgomotul general al imaginii și scăzând doza de radiație.
Construit pe o fundație puternică
Cu un lanț imagistic robust care integrează tehnologia Z-Detector, o viteză de rotație de 0,25 s, o capacitate termică echivalentă de 30 MHU și un gantry ultra-larg de 82 cm, sistemul oferă și o masă cu capacitate de încărcare de 317 kg. Aceste caracteristici, împreună cu soluțiile clinice avansate, facilitează imagistica pentru o gamă diversă de pacienți și tipuri de examinări, inclusiv cazuri cardiace complexe, îngrijiri de urgență și traumatisme.
Galerie clinică
Reducerea zgomotului imaginii, oferind o vizualizare mai clară a arterelor coronare și îmbunătățirea contrastului în interiorul vaselor cu stent.
Îmbunătățirea delimitării contururilor plăcilor, cu o diferențiere mai clară între plăcile dure și cele moi.
Permite o extragere mai precisă a vaselor grefate și o vizualizare îmbunătățită a vaselor distale, sprijinind medicii în evaluarea mai corectă a prognosticului pacienților.
Selectarea automată a celei mai bune faze îmbunătățește calitatea imagisticii coronariene.
Îmbunătățirea afișării arterelor coronare și reducerea artefactelor de mișcare prin algoritmi AI.
O rezoluție temporală de 25 milisecunde crește considerabil calitatea imagisticii cardiace pentru pacienți cu ritm cardiac neregulat.
Imagistica rapidă și precisă „triple rule-out” poate fi realizată cu o viteză de rotație de 0,25 secunde.
Obținerea imagisticii complete de perfuzie cerebrală, dincolo de lățimea detectorului, este posibilă prin tehnologia shuttle perfusion.
Extracția automată și precisă a vaselor sanguine în CTA carotidian, cu afișarea clară a detaliilor vasculare.
Prin combinarea fluxului de lucru AI cu un tub performant, se îmbunătățește imagistica de urgență în cazurile de traumatisme severe, precum ruptura de rinichi.
CT spectral pentru evaluarea calculilor renali mici.
Matricea de reconstrucție de înaltă definiție evidențiază nodulii de dimensiuni reduse.
Gantry-ul ultra-larg de 82 cm permite poziționarea flexibilă a pacienților bariatrici.
Detalii tehnice
| Detalii Tehnice | |
|---|---|
| Capacitate anod tub | Echivalent 34 MHU |
| Detector | Z-Detector |
| Număr de rânduri de detectori | 80 |
| Număr maxim de secțiuni generate per rotație | 160 |
| Timp de rotație | 0.25 s* / 360° scanări |
| Setări kV | 60*, 70, 80, 100, 120, 140 kV |
| Putere generator | 100 kW |
| Deschidere (aperture) | 82 cm |
| Capacitate masă masă pacient | 451 / 700 lbs* |
* opțional