CT cu 40 slice-uri
uCT 520
Inspirație. Încurajare.
uCT 520 este conceput pentru a oferi acces extins la tehnologii avansate. Sistemul se remarcă și prin performanță financiară excelentă, având componente fiabile și multiple aplicații avansate integrate.
Flux de lucru simplificat
Operațiuni inteligente și automatizate pentru îngrijire personalizată
Imagistică realizată cu grijă
Tehnologii complete de control al dozei pentru planuri optimizate
Performanță financiară remarcabilă
Reducerea costului total de operare
Inovație – Z-Detector
Material de înaltă calitate
Scintilatorul pe bază de oxi-sulfură de gadoliniu (GOS) oferă o conversie rapidă și eficientă a razelor X.
Design ultra-low noise
Z-Detector, cu tehnologie integrată avansată, reduce semnificativ zgomotul, furnizând imagini de înaltă calitate la doză redusă.
Eșantionare fină
Dimensiunea rafinată a voxelilor permite o vizualizare detaliată și precisă a structurilor anatomice.
Flux de lucru optimizat prin inteligență artificială
Flux de lucru eficient
EasyScan – planifică inteligent examinarea pentru fiecare pacient.
EasyLogic – minimizează timpul de așteptare între proceduri și accelerează semnificativ fluxul de lucru al examenului CT.
Post-procesare de înaltă performanță
uCT 520 oferă aplicații avansate de post-procesare, crescând precizia și încrederea în diagnostic.
Imagini excepționale
Reconstrucție Real 3D Cone Beam
Algoritmul de reconstrucție Real 3D cone beam permite obținerea de imagini izotrope 3D de înaltă rezoluție.
KARL 3D – Reducerea iterativă a zgomotului
Algoritmul de ultimă generație KARL 3D este aplicat atât în spațiul de proiecție, cât și în cel al imaginii, oferind imagini de calitate superioară la doză redusă.
Imagistică cu grijă
uDose – Modulare 3D a dozei
uDose creează un plan optimizat de distribuție 3D a dozei pentru fiecare scanare, pe baza informațiilor anatomice.
Mod de scanare 70 kV
Scanarea la 70 kV crește raportul semnal/zgomot (SNR), fiind deosebit de benefică pentru pacienții pediatrici, imagistica cu substanță de contrast și venografia CT (CTV).
Design inteligent
Componente fiabile
Tub CT ușor, proiectat pentru service facil.
Perii de carbon auto-curățabile, care asigură fiabilitate ridicată a inelului de contact.
Înclinare gantry
uCT 520 permite o înclinare fizică a gantry-ului de până la ±30˚.
Easy-Logic – platformă inteligentă de predicție
Sistemul anticipează următoarea operațiune a utilizatorului și aranjează automat procedura de scanare.
Modul uECO
Modul uECO economisește până la 30% din consumul de energie față de modurile stand-by convenționale.
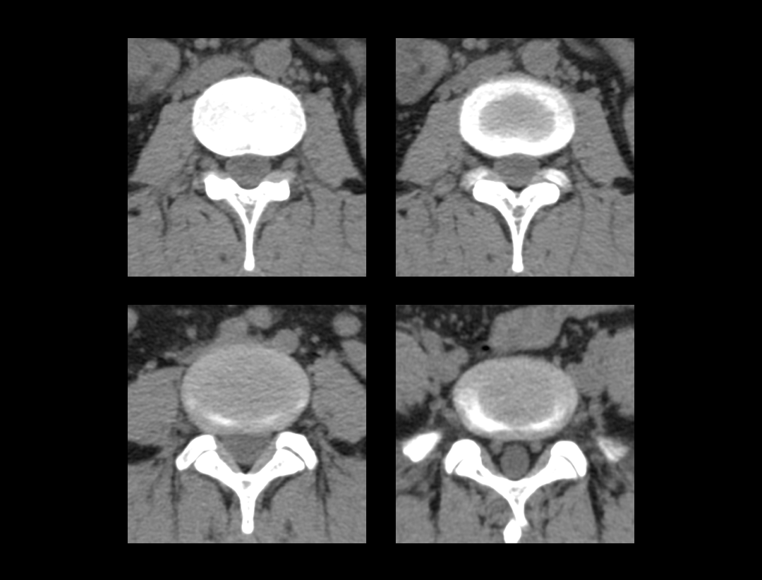
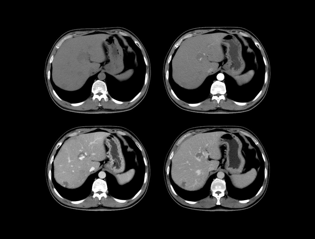
Galerie clinică
Scanare craniană fără substanță de contrast
Scanare toracică fără substanță de contrast
Scanare abdominală cu substanță de contrast
Scanare articulație sacroiliacă
Scanare coloană lombară (L-spine)
CTA aortă
Detalii tehnice
| Detalii Tehnice | |
|---|---|
| Capacitate anod tub | 2 MHU |
| Detector | Z-Detector |
| Număr de rânduri de detectori | 40 |
| Număr maxim de secțiuni generate per rotație | 80* |
| Timp de rotație | 0.75 s / 360° |
| Setări kV | 70, 80, 100, 120, 140 kV |
| Putere generator | 42 kW |
| Deschidere (Aperture) | 70 cm |
| Capacitate masă pacient | 205 kg |
* opțional