Sistem inteligent de angiografie
uAngio® AVIVA CX
Intuitiv și bionic
uAngio® AVIVA CX, sistemul inteligent de angiografie montat pe tavan dezvoltat de United Imaging, este mai mult decât un instrument – este un asistent inteligent în sala de operație. Cu funcții de control vocal, viziune artificială, robotică și imagistică avansată, uAngio® AVIVA CX „vede, aude, se mișcă cu flexibilitate și gândește”, revoluționând modul în care sunt realizate procedurile intervenționale. Această inovație deschide drumul către o nouă eră a procedurilor medicale asistate inteligent.
Control vocal inteligent
uAngio® AVIVA CX integrează un sistem de control vocal de ultimă generație, permițând personalului medical să opereze echipamentul prin comenzi vocale, menținându-și concentrarea asupra procedurii.
Viziune inteligentă
uAngio® AVIVA CX utilizează trei senzori amplasați deasupra sălii de operație pentru a capta imagini 2D în timp real din multiple unghiuri. Aceste imagini sunt folosite pentru a reconstrui un model 3D al pacientului, echipamentului și întregii săli, creând un spațiu digital twin – uSpace. Cu această viziune 3D inteligentă, sistemul identifică autonom zonele țintă, planifică traiectoriile de mișcare și ajustează parametrii de expunere. Prin percepția activă a mediului operator, uAngio® AVIVA CX marchează o nouă eră a colaborării fluide dintre om și mașină.
Mișcare inteligentă
Sistemul robotic montat pe tavan, cu 8 axe de mișcare, oferă o flexibilitate excepțională, permițând navigarea liberă în mediul complex al sălii de operație. Astfel, asigură acoperire completă a spațiului și acces facil la masa de intervenție.
Imagistică inteligentă
Tehnologia uVera IQ abordează provocarea echilibrului dintre doza redusă de radiație și calitatea înaltă a imaginii, minimizând totodată cantitatea de substanță de contrast. Oferă imagini precise și clare, protejând în același timp echipa medicală și pacienții.
Spectru clinic extins*
Susține aplicații clinice avansate în cardiologie, intervenții neurovasculare și radiologie intervențională.
*Aplicațiile avansate nu sunt disponibile în toate țările.
Cardiologie
Îmbunătățire coronariană asistată de AI*
Funcția AI-Enabled Coronary Enhancement oferă imagini clare și consistente, permițând o reducere de până la 50% a dozei de substanță de contrast. Astfel, scade semnificativ riscul de CI-AKI (leziune renală acută indusă de contrast), fără a compromite acuratețea diagnostică.
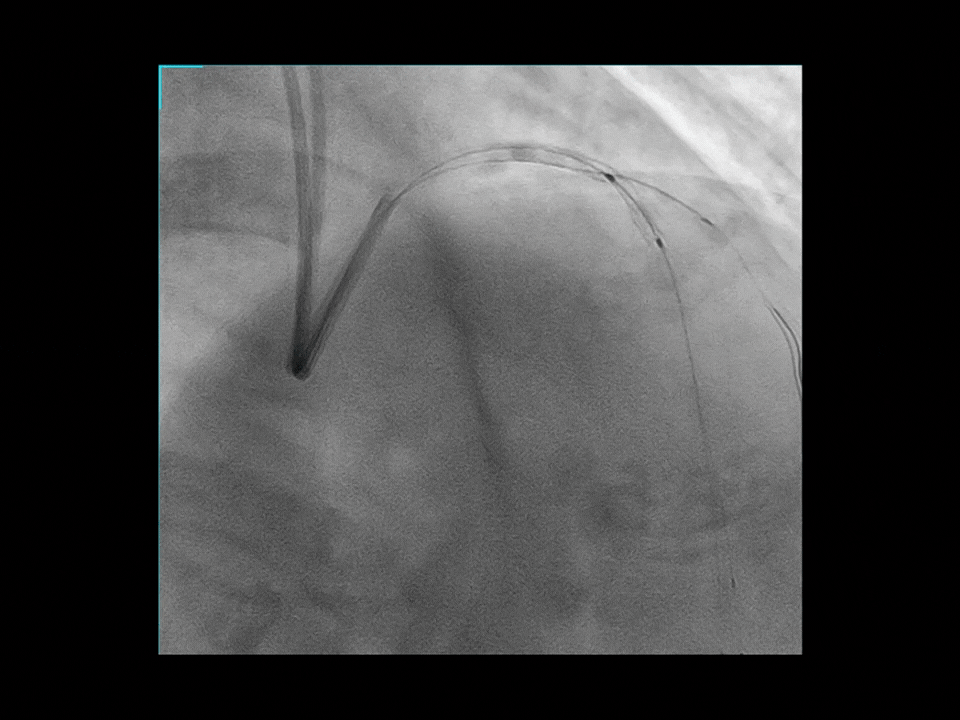
Hartă coronariană dinamică*
Dynamic Coronary Roadmap (DCR), o tehnologie avansată dezvoltată de UIH, oferă vizualizare în timp real a arterelor coronare, compensând automat mișcarea acestora. Prin suprapunerea angiogramei evidențiate peste imaginile fluoroscopice 2D live, DCR generează o hartă color adaptivă care se ajustează continuu în funcție de mișcarea coronariană. Această ghidare dinamică îmbunătățește precizia și eficiența în navigarea firelor și cateterelor, simplificând procedurile complexe.
uStent Live*
Vizualizarea îmbunătățită în timp real permite poziționarea și implantarea precisă a baloanelor, stenturilor și scaffoldu-rilor vasculare bioresorbabile, contribuind la optimizarea fluxului de lucru și reducerea timpului procedural.
Intervenții neurovasculare
Fuziune multi-modalitate
Combină date din diferite volume sau modalități imagistice pentru a vizualiza cu claritate și precizie relațiile spațiale dintre structuri și vasele sanguine.
Analiză 3D a anevrismelor*
Permite o analiză cantitativă precisă a anevrismelor pe imagini 3D, oferind informații detaliate despre dimensiune și parametrii esențiali, pentru a sprijini medicii în planificarea optimă a tratamentului bazată pe date.
Analiză 2D a fluxului sanguin*
Vizualizează modificările de perfuzie pentru a determina dacă tratamentul poate fi finalizat, oferind variații detaliate ale parametrilor de perfuzie care ajută echipa medicală să evalueze eficiența intervenției.
uVera IQ DSA
uVera IQ DSA oferă imagini de o claritate excepțională, evidențiate în imaginile post-embolizare cu coil, unde se observă clar absența scurgerii de substanță de contrast în interiorul anevrismului.
Fuziune multi-volum
După implantarea dispozitivului de deviere a fluxului pentru un anevrism intracranian, fuziunea multi-volum a evidențiat o aderență excelentă la peretele vascular, confirmând poziționarea optimă a dispozitivului.
Radiologie intervențională
Hartă ghid
Ocluzia arterială a membrelor inferioare a fost tratată prin angioplastie transluminală percutanată, sub ghidajul precis oferit de funcția Roadmap.
uNavi
Suprapune imaginea DSA peste imaginea fluoroscopică live pentru un ghidaj precis în timpul procedurii.
uTarget View*
Sistem de navigație precisă pentru ghidarea acului, care oferă un flux de lucru integrat cu segmentare semi-automată a tumorii, ghidare laser și afișarea în timp real a traiectoriei planificate.
Analiză 2D a fluxului sanguin*
Vizualizează modificările de perfuzie pentru a determina dacă tratamentul poate fi finalizat, oferind variații detaliate ale parametrilor de perfuzie care ajută echipa medicală să evalueze eficiența intervenției.
Creat pentru tine și pentru fiecare procedură
Specificații tehnice
| C-arm | Detalii |
|---|---|
| C-arm robotic | 8 axe |
| Acoperire mișcare | Până la 6,35 m × 2,36 m |
| Rotație Z | ±135° |
| RAO/LAO | 180° / 150° |
| Deplasare transversală | Max. 2360 mm |
| Deplasare longitudinală | Max. 6350 mm |
| Detector | Detalii |
|---|---|
| Dimensiune detector | 30 × 40 cm |
| Dimensiune pixel | ≤154 μm |
| Rezoluție spațială | ≥3,25 lp/mm |
| Adâncime | 16 bit |
| DQE | 77% RQA5 0 lp/mm @ 2 μGy (tipic) |
| Tub de raze X | Detalii |
|---|---|
| Focalizare | 0,4 / 0,6 / 1,0 mm |
| Putere | 28 / 48 / 100 kW |
| Capacitate termică max. anod | 3,8 MHu |
| Capacitate termică max. ansamblu | 6,69 MHu |
| Disipare termică max. anod | 5500 W |
| Masă | Detalii |
|---|---|
| Lungime masă | 3228,5 mm |
| Sarcină masă | Max. 340 kg (749,6 lbs); CPR ≥ 60 kg (132,3 lbs) – în orice poziție |